费那那那 肖庆病例分享:脑出血倒地18小时, 内镜下17分钟挽回生命

文章图片
假如给你18个小时 , 你会做些什么?是选择在床上舒舒服服的睡一觉?还是带上全家出去郊游一天?或许你会是个工作狂选择把棘手的工作先做完!但是这18个小时对于老田就没那么幸运了 , 他别无选择 , 独自在家摔倒后 , 他只能一动不动的跪在地上 , 头贴在冰冷的地板上 , 无声的祈祷早点被人发现 。。。
据老田女儿回忆:2021-01-12晚上8点钟 , 迟迟联系不上父亲的我匆忙返回家中 , 打开门被眼前的一幕惊呆了 , 地上遍布暗红色的血迹 , 那是从跪在地上的父亲口鼻里流出来的 , 我感觉很绝望 , 他的四肢动不了 , 我甚至不能将他扶到家隔壁的医院 , 他也说不出话 , 没办法告诉我该怎么做 。 我拨通了120的电话 , 又通知了家里的其他人 , 晚上11点我们一起将父亲推入了急诊的手术室 。
据老田妹妹回忆:2021-01-13凌晨4点 , 我们驱车赶到时 , 哥哥做完手术被推入ICU继续抢救治疗 , 医生说他是脑出血 , 现在靠呼吸机辅助 , 维持生命体征 。 真是惊天噩耗 , 谁能想象他才54岁!ICU不能探视 , 我就在病房门口用手机查脑出血的病因和治疗办法 , 看到了航空总医院神经外四科 。
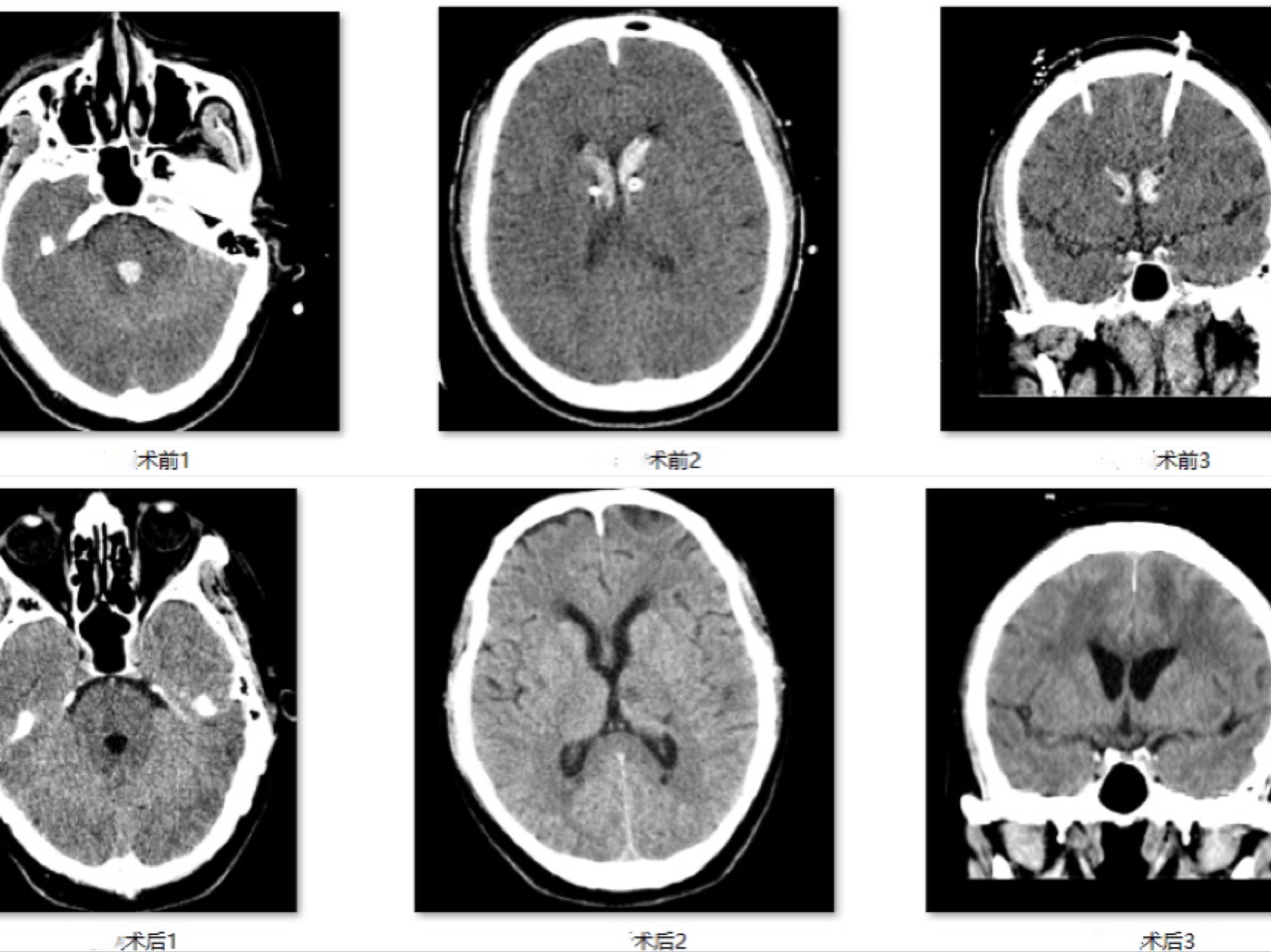
据主管医生回忆:2021-01-14老田家属联系我们时 , 左右脑室各有一根外引流管 , 患者嗜睡状态 , 言语混乱 , 精神弱 , 无法自主咳嗽 , 从片子上看考虑左侧基底节出血破入脑室 , 在双侧脑室、第三脑室及第四脑室内形成血肿铸形 。 这种情况下通过单独双侧脑室外引流清除血肿 , 一来血肿机化像果冻一样难以短期内通过液体引流的方式清除;二来这种胶状的血凝物很容易堵塞引流管;三延长引流时间又带来感染风险大大增加 。 与此同时 , 第三脑室、第四脑室内因残余积血难以彻底清除 , 对整体脑脊液循环的影响和周围组织的炎性刺激 , 远期并发脑积水和神经功能损伤的机会也会显著上升 。
入院后积极完善术前检查 , 拟行软性神经内镜下清除双侧脑室、第三脑室、第四脑室内的积血 , 保证导水管通畅 , 术中冲洗脑脊液清亮 , 并拔除原有的2根临时引流管 , 重新放置1根脑室腹壁外引流管 , 方便长期监测脑脊液情况 , 并安全规避了感染风险 。
手术进行的很顺利 , 患者术后自主呼吸、主动咳嗽能力可 , 经过评估拔除气管插管 。 经过2周的对症治疗 , 监测脑脊液化验未见明显异常 , 患者也可耐受关闭外引流 , 于2021-02-01拔除脑室腹壁外引流管 , 术后复查头颅CT除外出血 , 脑室形态未见增大 。 出院时 , 神志清 , 言语流利 , 记忆力逐渐恢复 , 可独立平稳行走 。
专家简介:
【费那那那|肖庆病例分享:脑出血倒地18小时, 内镜下17分钟挽回生命】肖庆 神经外科学博士 , 博士后 , 中国医科大学航空总医院内镜微创神经外科主任医师 , 国内外知名的脑室脑池外科专家 。 荣获王忠诚中国神经外科医师2011年度青年医师奖;2018年以独到的软性神经内镜技术入选第二届国家名医榜单获评“国之名医.优秀风范”荣誉称号 。
擅长:擅长神经系统常见病、多发病及疑难杂症的诊断及外科治疗 , 尤其擅长应用软性内镜微创手术治疗脑室脑池疾病包括各种类型脑积水、脑室内感染、蛛网膜囊肿、颅内血肿特别是脑室内铸型血肿及脑室内肿瘤等;应用Trocar及气腹技术进行微创脑脊液分流手术 。
推荐阅读
- 行星 我们为啥要花那么多钱,费那么大劲,去登陆火星
- 费那那那 脑积水治疗后还会复发吗?
- 费那那那 儿童做腰穿危险吗?
- 费那那那 什么是周围性面瘫?
- 费那那那 哪些面肌痉挛患者适合微血管减压术治疗?
- 费那那那 儿童颅骨缺损会自愈吗?
- 费那那那 儿童颅骨修补成年后需要更换吗?
- 费那那那 出现面肌痉挛症状也许会有哪些疾病
- 费那那那 肖庆病例分享:两女儿踏遍京城为耄耋之年母亲搏得一线生机
- 费那那那 面肌痉挛为什么要及早治疗?
