热点趣事 难以启齿的手术:河南奇葩男子把一个24CM玻璃瓶塞进肛门里,自取一个晚上未果羞愧送医

文章图片
文章图片
大千世界无奇不有 , 世界上除了有正常的人类 , 也会有一些不太正常的奇葩异类 , 这类人因为太过“脑洞” , 往往会做出一些令人瞠目结舌的奇异怪事 , 让我们此类正常的人难以理解 , 也是捉摸不透 , 搞不明白他们那么做的目的究竟是为什么!近日 , 河南驻马店市平舆县出现了一位“奇人” , 此人姓毕 , 年仅也不小了 , 按照道理 , 他的社会阅历比我们很多人都丰富得多 , 但他却做了一件让人哭笑不得的奇葩事 。
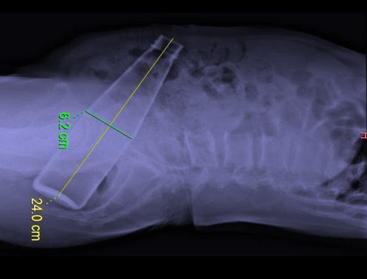
【热点趣事|难以启齿的手术:河南奇葩男子把一个24CM玻璃瓶塞进肛门里,自取一个晚上未果羞愧送医】据说是“不慎” , 结果是硬生生把一个玻璃饮料瓶子从肛门里塞了进去 , 瓶子长有24CM , 直径6CM , 好家伙!这么大的瓶子塞进肛门 , 老毕究竟想干啥事?瓶子进入身体后 , 老毕本想自己把它拿出来 , 一个人在卫生间里苦苦努力“奋斗”了一个晚上 , 最后还是以失败告终 。 因为他的错误努力 , 以至于瓶子进入人体的更深位置 , 老毕害怕了 , 红着脸把事情告诉了家人 , 当时家人一脸懵逼 , 搞不懂他在干什么 。
搞不懂就别搞了 , 还是先救人要紧 , 于是老毕被家人紧急送到了驻马店市中心医院 , 肛肠科主任随即对老毕进行检查 , 认为事态极其严重 , 病人的情况非常危急 , 不容乐观 , 因为老毕的肛门已经出现水肿 , 有机械性肠梗阻症状 。 医生尝试用手指伸进病人肛门 , 但是却始终探不到瓶子 , 这意味着从肛门直接取出玻璃瓶的可能性很小 , 可能需要动手术开腹从腹腔内取出 。 写到这里 , 小编突然想起了一句话:“不作不知死!”不知道老毕这算不算“作”!莫非是闲得蛋痛?
在科室讨论会议上 , 大家虽然都临床处理过此类肛门直肠异物事件 , 说出来可谓是千奇百怪 , 数不胜数 , 但相比老毕这起 , 难度都要小得多 , 这么大的玻璃瓶塞进肛门 , 大家都是头一次见到 , 如果不尽快取出 , 玻璃瓶长时间压迫了肠腔 , 阻碍了血液循环 , 可能会导致肠坏死 , 穿孔或者破裂 , 如果玻璃瓶在体内破碎 , 碎玻璃更会刺破内脏 , 其后果不堪设想 , 很可能会危及病人的生命 。 唉!老毕呀老毕!你这次真的玩大了!
肛肠科团队通过与病人家属沟通 , 制定了两套医治方案 , 首先由麻醉师协助 , 先从肛门尝试直接取出玻璃瓶 , 如果尝试失败 , 立即实施第二套方案 , 手术从腹腔取出 , 切实做到有备无患 。 随后 , 老毕就被推进了手术室 , 肛门内取瓶子开始 , 副主任医师的手最小 , 由她用手探查玻璃瓶的具体位置 , 然后主任根据她的提示 , 用手在病人的腹部渐渐挤压 , 缓缓地将瓶子推向直肠末端 , 随后 , 采用肛门扩撑器撑开肛门 , 再用手术器械吸住瓶子慢慢向外牵引 。
经过多位医生的共同努力 , 大家各司其职 , 用了一个多小时时间 , 终于把玻璃瓶从老毕肛门里取了出来 , 最终没有用到第二套方案 , 老毕住院了3天 , 感觉身体已经无大碍 , 就办理了出院手续 , 满脸羞愧地回到了家里 。 不过 , 至于他为什么要把一个那么大的瓶子强行塞进肛门 , 他没有说 , 但不管怎样 , 这事是有惊无险 , 相信老毕吃了这次大亏 , 往后不会再胡来的了 。 这起奇葩事件被网络曝光后 , 网友除了哈哈大笑外 , 也展开了猜测大讨论:他为啥要塞个瓶子?
推荐阅读
- 人类 最适合人类居住的星球,距地球仅4光年,可人类却难以达到
- 邓紫棋 七季后,张惠妹为何回归《好声音》第十季?原因有点让人难以接受
- 大盘 6.3大盘压力位、支撑位和热点板块
- 德生科技 6月2日【核心股池】:紧急调仓,3大热点龙头股已现完美圆弧底!
- 中子星 中子星无法成为黑洞,为何却拥有黑洞的能力摧毁力难以想象
- 史上收视率最高的十部电视剧, 第一收视率难以想象
- 充电桩 热点前瞻:充电桩+婴童概念+MLCC+辅助生殖
- 动作 好声音首轮2排评委投完票,有谁注意李健老师的动作难以置信
- 操作系统 热点前瞻:纺织服装+转基因+碳中和+操作系统
- 地球 在距离地球5亿公里的彗星上,飞船传回了难以置信的外太空世界
